一种新型脂肪酶及其高效制备方法与应用
一、成果简介
本新型脂肪酶是从昆虫肠道微生物中分离和鉴定,通过对其氨基酸序列以及关键氨基酸位点的比对分析确定为一种属于Lipase Family I.3家族的新型脂肪酶。
脂肪酶的异源可溶性与高活性表达一直是难以解决的问题,常用的宿主细胞例如大肠杆菌往往会在重组表达过程中形成不可溶无活性的包含体蛋白,因此为了获得足量有活性的脂肪酶,常常需要进行复杂的变复性实验。本成果针对脂肪酶建立了一种新型的重组蛋白变复性方法,与经典方法相比,在复性蛋白活性无显著差异的情况下,可将制备时间缩短至三分之一,成本降低为二分之一,从而使脂肪酶的制备具有大规模工业化的可能。
本新型脂肪酶具有较高的水解油(脂肪,甘油三脂)的活性。此外该脂肪酶能够有效降解微塑料,能够在5min内降解微塑料乳液至澄清。此外该脂肪酶能够用于外消旋3-(4’-甲氧基苯基)甘糖酸甲酯的分解,通过催化(2S,3R)对映体的对映选择性水解,能够将原来的9步化学合成减少至5步,从而产生钙通道阻滞剂和冠状血管扩张剂地尔硫卓。
图1.新型脂肪酶结构
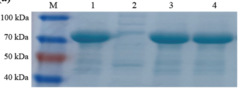
图2.脂肪酶变复性情况
(泳道1为破碎后包含体沉淀,泳道2为破碎后上清液,泳道3为包含体变性后上清液,泳道4为变性蛋白复性后上清液)
二、应用领域
新材料、新技术领域
三、市场前景
油脂化工产业是全球化工领域的重要子行业,天然脂肪酸2020年全球市场规模约为137亿美元,市场规模预计2027年将达到179亿美元,年复合增长率为3.90%。硬脂酸作为天然脂肪酸组成部分之一,2020年至2027年预计市场规模年复合年增长率为5.4%,到2027年期末市场规模将达到65亿美元。脂肪酸目前应用市场大约为50%左右的脂肪酸用于制皂或直接使用,其中选硬脂酸大量用于作橡胶加工;大约20%用于生产含氮衍生物,主要是脂肪胺和脂肪氨酰;约10%用于制成脂肪酸类;其余用于合成油墨,油漆用树脂、二聚酸,以及塑料加工用的润滑油和稳定剂、重金属盐等。随着脂肪酸用途的日益广泛,全世界对脂肪酸的需求越来越大,美国脂肪酸的消费以年均2%的速度增长,随着对技术的引进和生产实践中的不断探索,国内许多厂家已经在自行设计生产装置,甚至已有一部分厂家开始出口脂肪酸,特别是在东海沿海城市这一点更为突出。
微塑料指直径小于5毫米的有机、不溶性和抗降解的合成聚合物颗粒,由于其体积很小,而比表面积较大,因此吸附污染物的能力非常强,同时这些微小的碎片一旦进入环境便难以降解,而是会在动物体内积累,最终在包括人类在内的高等生物体内富集,因此微塑料的持续排放会对生态系统和食物链产生永久性的污染。2023年9月底,欧盟发布了微塑料禁售令,本脂肪酶在微塑料清理方面具有巨大潜力。
本新型脂肪酶可用于制备钙通道阻滞剂(CCB),它是目前临床常用的降压药,此类药物通过阻断血管平滑肌细胞上的钙离子通道,发挥扩张血管、降低血压的作用,主要包括以硝苯地平、氨氯地平等为代表的二氢吡啶类CCB,和以地尔硫卓等为代表的非二氢吡啶类CCB两类。2022年我国总体医疗机构CCB类药物销售额达233.3亿元。

图3.微塑料乳液降解前后效果对比
四、知识产权
1、成果由bv伟德国际1946官网单独持有;
2、本成果已申请专利。
五、合作方式
技术许可、合作开发、技术转让、技术服务和咨询等。
六、对接方式
(1)合作意向方联系北理工技术转移中心;
(2)北理工技术转移中心沟通了解意向方情况;
(3)会同成果完成团队与意向方共同研讨合作方案。
bv伟德国际1946官网技术转移中心
电话:010-68914920
邮箱:bitttc@bit.edu.cn
网址:ttc.bit.edu.cn
未经授权,请勿转载
